Menu
Amfidental

Amfidental

Fogorvosi rendelő

Primary menu

Skip to primary content
Skip to secondary content
  • Amfidental
    • Dental Team
    • References of our dentistry
  • Dental implants
    • Dental implantation
      • Tooth implant templating
    • Risks and benefits of dental implants
    • Dental implant types
    • Bone augmentation
      • Sinus lift procedure
    • Nobel Guide
  • Cosmetic Dentistry
    • Teeth whitening
      • Professional whitening
      • Bleaching at home
    • Dental crowns
      • Porcelain crowns
      • Empress crowns
      • Zirconium crowns
      • Procera crowns
    • Porcelain veneers
    • Tooth jewelery
  • Dental treatments
    • Tooth filling
      • Inlay and onlay filling
      • Amalgam filling
    • Tooth extraction
    • Dental cleaning, tartar removal
    • Root canal treatment
  • Prices
  • Gallery
    • Case of the month
    • Our surgery
    • Before and after
    • E.max case
    • Implant case
    • Zirconium case
  • Information
  • Contact
    • Address and itinerary of the dentistry
    • Book a dental consultation

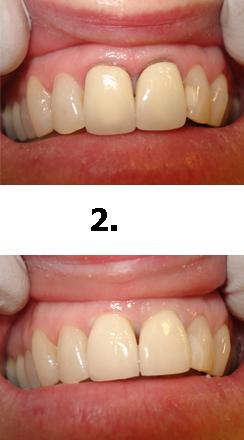
Before and after

Posted on 2014-12-10 by admin

[Show slideshow]
01preskeramia_korona_2
02cirkonium_1
03cirkonium_1
04cirkonium_1
05cirkonium_1
06cirkonium_1
07cirkonium_1
08preskeramia_hej_1
09preskeramia_hej_1
10tomes_1
11normal
12normal
13normal_1
14normal_1
15normal_1
16cirkonium_korona_1
17cirkonium_hid_1
18cirkon_korona_1
19preskeramia_korona

Case Studies

esetbemutatások
  • >> Implant case
  • >> Zirconium case
  • >> E.max case

More

Before and After

előtte-utána

More

F.A.Q.

  • Porcelain crowns
  • Porcelain veneers
  • Zirconium crowns
  • Implants
  • Whitening
  • Inlay
  • Filling
  • Root canal treatment
  • Extraction
  • Cleaning

Testimonials

"From the first contact on e-mail and the first consultation i have felt safe and the clinic has been very professional. There has been lots of time to explain about the treatment and the treatment plan has been kept the whole way.... I have had 6 implants done, 7 fillings changed to white plastic, and a whitening. Compared to the offers I have received in Denmark, I have saved around 40-50% including plane tickets and hotels..." - Sorin B. (Denmark)


More

Dental treatments Budapest, Budapest dentist

AMFIDENTAL DENTISTRY HUNGARY

  • THE DENTAL SURGERY
  • OUR DOCTOR
  • TESTIMONIALS OF THE DENTISTRY
  • THE DENTAL CLINIC IN PICTURES
DENTAL IMPLANTATION

  • DENTAL IMPLANTS
  • PROS AND CONS OF IMPLANTS
  • BONE SURGERY
  • SINUS LIFT PROCEDURE
AESTHETIC DENTISTRY

  • TEETH WHITENING
  • DENTAL CROWNS
  • PORCELAIN VENEERS
  • DENTAL JEWELERY
DENTAL PROCEDURES

  • TOOTH FILLING
  • TOOTH EXTRACTION
  • TARTAR CLEANING
  • ROOT CANAL TREATMENT
FURTHER INFORMATION

  • AMFIDENTAL ON THE MAP
  • BOOK A CONSULTATION
  • DENTAL TREATMENT PRICES
  • QUESTIONS AND ANSWERS
AMFIDENTAL DENTISTRY HUNGARY | 3 NAGYSZOMBAT ST., 1ST FLOOR, NO.4 H-1036 BUDAPEST | PHONE: +36 1 215-3830, +36 30 229-5429 | E-MAIL: INFO@AMFIDENTAL.HU
  • Amfidental
    • Dental Team
    • References of our dentistry
  • Dental implants
    • Dental implantation
      • Tooth implant templating
    • Risks and benefits of dental implants
    • Dental implant types
    • Bone augmentation
      • Sinus lift procedure
    • Nobel Guide
  • Cosmetic Dentistry
    • Teeth whitening
      • Professional whitening
      • Bleaching at home
    • Dental crowns
      • Porcelain crowns
      • Empress crowns
      • Zirconium crowns
      • Procera crowns
    • Porcelain veneers
    • Tooth jewelery
  • Dental treatments
    • Tooth filling
      • Inlay and onlay filling
      • Amalgam filling
    • Tooth extraction
    • Dental cleaning, tartar removal
    • Root canal treatment
  • Prices
  • Gallery
    • Case of the month
    • Our surgery
    • Before and after
    • E.max case
    • Implant case
    • Zirconium case
  • Information
  • Contact
    • Address and itinerary of the dentistry
    • Book a dental consultation
  • Amfidental
    • Dental Team
    • References of our dentistry
  • Dental implants
    • Dental implantation
      • Tooth implant templating
    • Risks and benefits of dental implants
    • Dental implant types
    • Bone augmentation
      • Sinus lift procedure
    • Nobel Guide
  • Cosmetic Dentistry
    • Teeth whitening
      • Professional whitening
      • Bleaching at home
    • Dental crowns
      • Porcelain crowns
      • Empress crowns
      • Zirconium crowns
      • Procera crowns
    • Porcelain veneers
    • Tooth jewelery
  • Dental treatments
    • Tooth filling
      • Inlay and onlay filling
      • Amalgam filling
    • Tooth extraction
    • Dental cleaning, tartar removal
    • Root canal treatment
  • Prices
  • Gallery
    • Case of the month
    • Our surgery
    • Before and after
    • E.max case
    • Implant case
    • Zirconium case
  • Information
  • Contact
    • Address and itinerary of the dentistry
    • Book a dental consultation