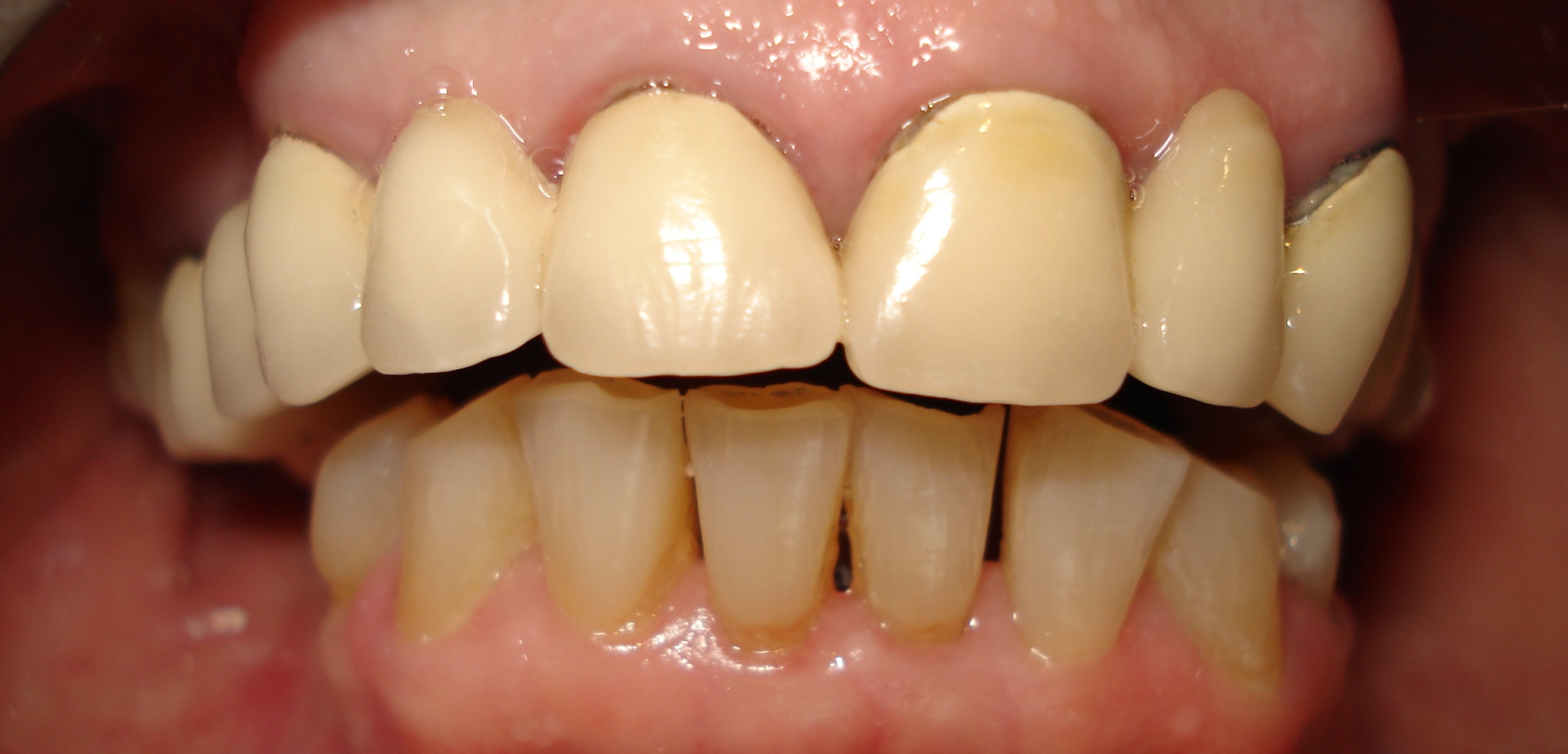
Ágnes a negyvenes éveiben járó páciensünk. A felső fogain fémvázas „normál” porcelánkoronák voltak már több, mint 10 éve. Az íny folyamatosan gyulladást és lilás színt mutatott, természetesen vérzett is. Ez egyrészt a fémvázas koronák irritációja miatt, másrészt a felrakódott fogkő miatt alakult ki. Az első lépés a fogkő professzionális eltávolítása volt. A koronák eltávolítása után egy hétig ideiglenes műanyag koronákat hordott páciensünk, hogy az ínyt gyulladásmentessé tegyük. Csak ezután preparáltuk a fogakat és vettünk lenyomatot. Alulra és felülre is cirkónium koronák és hidak készültek, az íny pedig hosszú távon egészséges.
