Menu
Amfidental

Amfidental

Fogorvosi rendelő

Primary menu

Skip to primary content
Skip to secondary content
  • Amfidental
    • Rólunk
    • Vélemények fogorvosi rendelőnkről
  • Fogimplantátum
    • Fogimplantátum, fogbeültetés
      • Fogimplantáció menete
      • Hagyományos fogbeültetés
      • Fogimplantálás sablonnal
    • Fogimplantáció előnyei és hátrányai
    • Fog implantátum típusok
  • Esztétikai fogászat
    • Fogfehérítés
      • Otthoni fogfehérítés menete
      • Rendelői fogfehérítés menete
    • Fogkorona
      • Normál porcelánkorona
      • Préskerámia korona
      • Cirkónium korona
      • Procera korona
    • Porcelán foghéj
      • Foghéj vagy fogkorona?
      • A kezelés menete
    • Fogékszer
  • Fogmegtartó kezelések
    • Fogtömés
      • Amalgám tömés cseréje
      • Esztétikus fogtömés
      • Inlay és onlay tömések
    • Gyökérkezelés
      • Gyökérkezelés menete
      • Gyökér rezekció
      • Gyökérciszta
    • Fogkő eltávolítás
      • A fogkő eltávolítás fontossága
      • A fogkő eltávolítás menete
  • Szájsebészet
    • Csontpótlás
      • Csontpótlás menete
      • Sinus lift
    • Foghúzás
      • Foghúzás előtt és után
      • Foghúzás menete
    • Bölcsességfog
    • Fájdalommentes fogászat
  • Galéria
    • Amfidental Fogászat Óbuda
    • Fogászati kezelések képekben
    • Cirkónium koronák bemutatása
    • Préskerámia koronák bemutatása
    • Implantációs eset bemutatása
  • Információk
    • Fizetési módok
    • Egészségpénztárak
    • Garancia
  • Elérhetőség

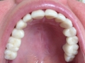
Implantációs eset bemutatása

Posted on 2014-12-10 by admin

[Show slideshow]
va001_1
va002_0
va003_0

Esetbemutatások

esetbemutatások
  • Implantációs eset bemutatása
  • Cirkónium koronák
  • Préskerámia koronák

Részletek

Előtte - utána

előtte-utána

Részletek

Adatkezelési tájékoztató

Gyakori kérdések

  • Porcelán korona
  • Porcelán héj
  • Cirkónium korona
  • Fogbeültetés
  • Fogfehérítés
  • Inlay
  • Fogtömés
  • Gyökérkezelés
  • Foghúzás
  • Fogkőeltávolítás

Rólunk mondták

Az első fogaim elkopása miatt kerestem fel Kuncsik doktort . A doktor Úr nagyon figyelmes volt végig, és a személyzet rendkívül udvarias. Gyors és precíz...


Részletek

Fogorvosi kezelések, budapesti fogorvos, fogászat Budapesten

  • AMFIDENTAL FOGÁSZAT
  • A FOGSZAKORVOS
  • FOGORVOS 3. KERÜLET
  • REFERENCIÁK
  • FIZETÉSI INFORMÁCIÓK
  • BEJELENTKEZÉS
  • ADATVÉDELEM
  • IMPLANTOLÓGIA
  • FOGBEÜLTETÉS MENETE
  • FOGBEÜLTETÉS TÍPUSOK
  • FOGBEÜLTETÉS ELŐNYEI
  • FOGBEÜLTETÉS ÁRAK
  • ESZTÉTIKAI FOGÁSZAT
  • PORCELÁN KORONA
  • CIRKÓNIUM KORONA
  • PORCELÁNHÉJ
  • FOGFEHÉRÍTÉS
  • ESZTÉTIKAI FOGÁSZAT ÁRAK
  • FOGMEGTARTÓ KEZELÉSEK
  • FOGTÖMÉS
  • INLAY TÖMÉS
  • FOGKŐ ELTÁVOLÍTÁS
  • GYÖKÉRKEZELÉS
  • FOGMEGTARTÓ KEZELÉSEK ÁRA
  • SZÁJSEBÉSZET
  • FOGHÚZÁS
  • FOGBEÜLTETÉS
  • CSONTPÓTLÓ MŰTÉT
  • BÖLCSESSÉGFOG
  • SZÁJSEBÉSZETI ÁRAK
AMFIDENTAL ESZTÉTIKAI FOGÁSZAT | 1036 BUDAPEST, NAGYSZOMBAT UTCA 3. I.em. 4. | TELEFON: +36 1 215-3830, +36 30 229-5429 | E-MAIL: INFO@AMFIDENTAL.HU
  • Amfidental
    • Rólunk
    • Vélemények fogorvosi rendelőnkről
  • Fogimplantátum
    • Fogimplantátum, fogbeültetés
      • Fogimplantáció menete
      • Hagyományos fogbeültetés
      • Fogimplantálás sablonnal
    • Fogimplantáció előnyei és hátrányai
    • Fog implantátum típusok
  • Esztétikai fogászat
    • Fogfehérítés
      • Otthoni fogfehérítés menete
      • Rendelői fogfehérítés menete
    • Fogkorona
      • Normál porcelánkorona
      • Préskerámia korona
      • Cirkónium korona
      • Procera korona
    • Porcelán foghéj
      • Foghéj vagy fogkorona?
      • A kezelés menete
    • Fogékszer
  • Fogmegtartó kezelések
    • Fogtömés
      • Amalgám tömés cseréje
      • Esztétikus fogtömés
      • Inlay és onlay tömések
    • Gyökérkezelés
      • Gyökérkezelés menete
      • Gyökér rezekció
      • Gyökérciszta
    • Fogkő eltávolítás
      • A fogkő eltávolítás fontossága
      • A fogkő eltávolítás menete
  • Szájsebészet
    • Csontpótlás
      • Csontpótlás menete
      • Sinus lift
    • Foghúzás
      • Foghúzás előtt és után
      • Foghúzás menete
    • Bölcsességfog
    • Fájdalommentes fogászat
  • Galéria
    • Amfidental Fogászat Óbuda
    • Fogászati kezelések képekben
    • Cirkónium koronák bemutatása
    • Préskerámia koronák bemutatása
    • Implantációs eset bemutatása
  • Információk
    • Fizetési módok
    • Egészségpénztárak
    • Garancia
  • Elérhetőség
  • Amfidental
    • Rólunk
    • Vélemények fogorvosi rendelőnkről
  • Fogimplantátum
    • Fogimplantátum, fogbeültetés
      • Fogimplantáció menete
      • Hagyományos fogbeültetés
      • Fogimplantálás sablonnal
    • Fogimplantáció előnyei és hátrányai
    • Fog implantátum típusok
  • Esztétikai fogászat
    • Fogfehérítés
      • Otthoni fogfehérítés menete
      • Rendelői fogfehérítés menete
    • Fogkorona
      • Normál porcelánkorona
      • Préskerámia korona
      • Cirkónium korona
      • Procera korona
    • Porcelán foghéj
      • Foghéj vagy fogkorona?
      • A kezelés menete
    • Fogékszer
  • Fogmegtartó kezelések
    • Fogtömés
      • Amalgám tömés cseréje
      • Esztétikus fogtömés
      • Inlay és onlay tömések
    • Gyökérkezelés
      • Gyökérkezelés menete
      • Gyökér rezekció
      • Gyökérciszta
    • Fogkő eltávolítás
      • A fogkő eltávolítás fontossága
      • A fogkő eltávolítás menete
  • Szájsebészet
    • Csontpótlás
      • Csontpótlás menete
      • Sinus lift
    • Foghúzás
      • Foghúzás előtt és után
      • Foghúzás menete
    • Bölcsességfog
    • Fájdalommentes fogászat
  • Galéria
    • Amfidental Fogászat Óbuda
    • Fogászati kezelések képekben
    • Cirkónium koronák bemutatása
    • Préskerámia koronák bemutatása
    • Implantációs eset bemutatása
  • Információk
    • Fizetési módok
    • Egészségpénztárak
    • Garancia
  • Elérhetőség